Hotline
1900.099990
Hà Nội – Ung thư vú ngày càng có xu hướng trẻ hóa, và trường hợp của chị N.T.N (36 tuổi) là một minh chứng rõ ràng cho thực tế đáng lo ngại này.
Ban đầu, chị N chỉ đi cùng bạn đến Trung tâm vú Mammocare để kiểm tra sức khỏe vú định kỳ. Khi biết đến máy chụp nhũ ảnh 3D hiện đại tại đây, chị quyết định chụp thử – một quyết định tưởng chừng như ngẫu nhiên nhưng lại thay đổi hoàn toàn cuộc sống của chị.

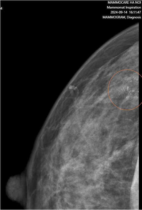
Kết quả chụp nhũ ảnh cho thấy hình ảnh vôi hóa đa hình và vô định hình, tập trung thành nhóm trong một vùng ~11x12mm ở vú phải. Kết hợp với siêu âm, bác sĩ phát hiện một khối giảm âm khá lớn (~7.8x42mm) – dấu hiệu cho thấy một tổn thương đáng ngờ.
Kết quả sinh thiết xác nhận: Chị N đã mắc ung thư vú xâm nhập. Điều đáng nói là trước đó, chị không có triệu chứng bất thường nào. Nếu không thực hiện kiểm tra, khối u có thể tiếp tục phát triển âm thầm và chỉ được phát hiện ở giai đoạn muộn hơn, khi việc điều trị sẽ khó khăn hơn rất nhiều.


Trước đây, ung thư vú chủ yếu xảy ra ở phụ nữ trên 50 tuổi, nhưng trong những năm gần đây, tỷ lệ mắc bệnh ở phụ nữ dưới 40 tuổi đang gia tăng. Rất nhiều trường hợp mắc bệnh khi còn rất trẻ mà không hề có triệu chứng ban đầu, giống như chị N.
Điều này nhấn mạnh tầm quan trọng của việc tầm soát định kỳ, đặc biệt với những phụ nữ trẻ. Khối u càng ở giai đoạn muộn, tỷ lệ điều trị thành công càng thấp. Do đó, phụ nữ ở mọi độ tuổi không nên chủ quan, ngay cả khi cơ thể chưa có dấu hiệu bất thường.
Bác sĩ tại Mammocare khuyến cáo:
Phụ nữ từ 35 tuổi trở lên nên tầm soát ung thư vú hàng năm.
Nếu có yếu tố nguy cơ cao (tiền sử gia đình mắc bệnh, có đột biến gen BRCA1/BRCA2), nên bắt đầu kiểm tra sớm hơn.
Kết hợp chụp nhũ ảnh 3D, siêu âm vú và MRI để tăng khả năng phát hiện sớm.
Tự kiểm tra vú hàng tháng để kịp thời nhận biết những thay đổi bất thường.
Tầm soát ung thư vú định kỳ là cách duy nhất để phát hiện bệnh sớm và nâng cao cơ hội điều trị thành công. Đừng để sự chủ quan khiến bạn bỏ lỡ cơ hội bảo vệ sức khỏe của chính mình!